Book Free Session on WhatsApp or Call   +91  77000  04970

Transformation

#phismile transformation

Displaying work of our smile architect
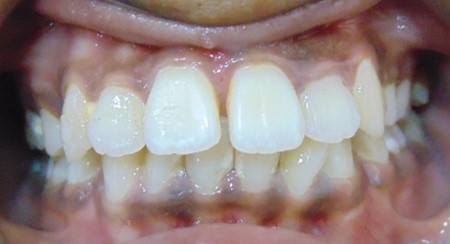
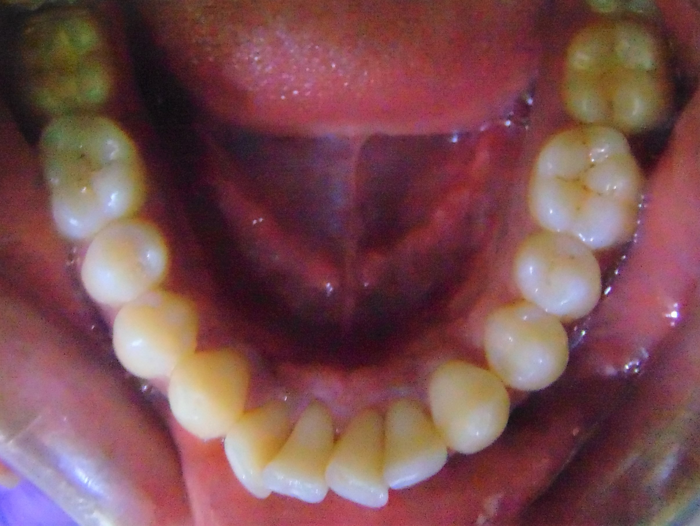
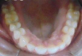
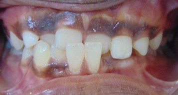
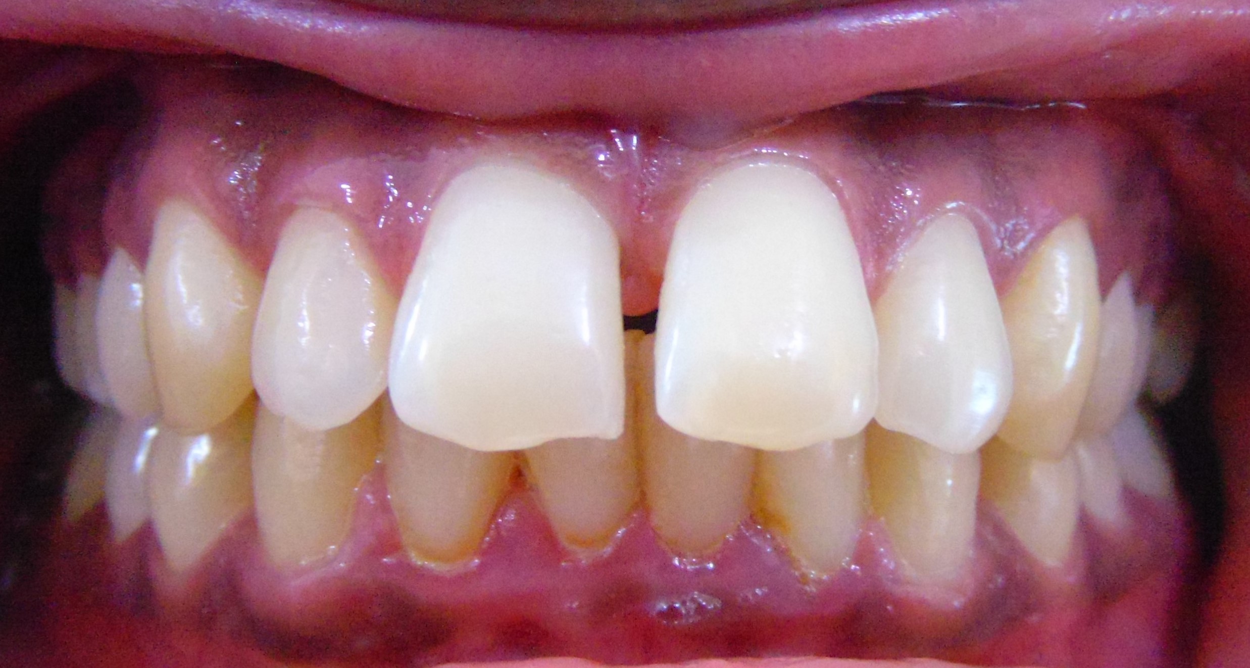
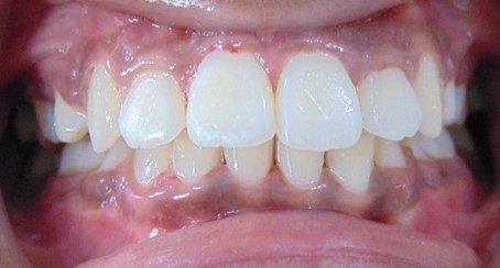
Before
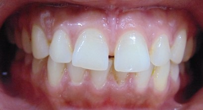
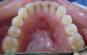
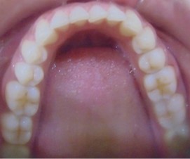
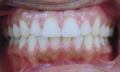
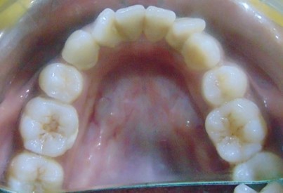
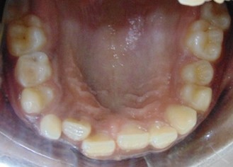
After
Image 1
Image 1
Image 2
Image 2
Image 3
Image 3
Kriti Sonal, 26Y, Duration - 8Months
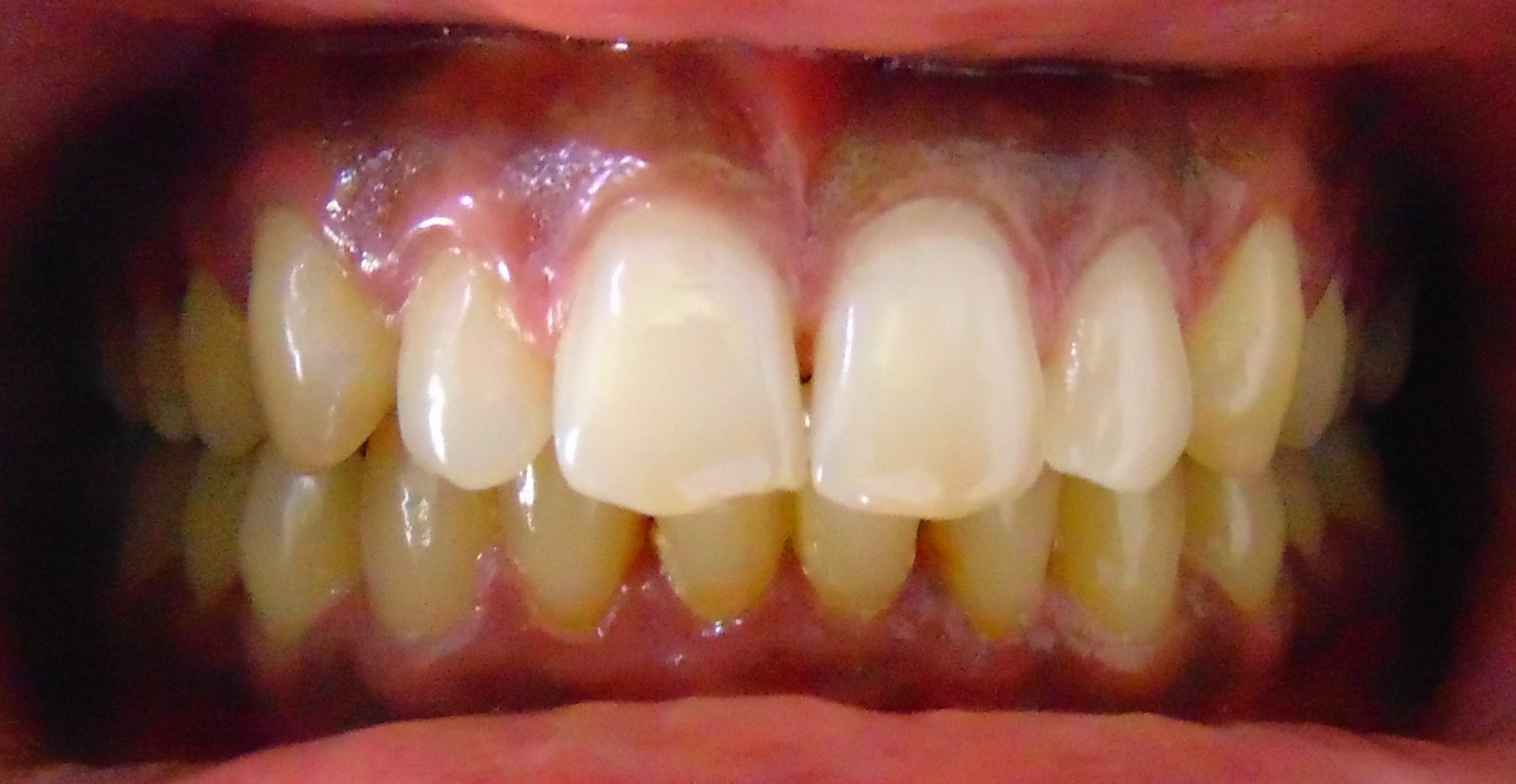
Before
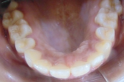
After
Image 1
Image 1
Image 2
Image 2
Image 3
Image 3
Abhinav Jain, 24Y, Duration - 8Months
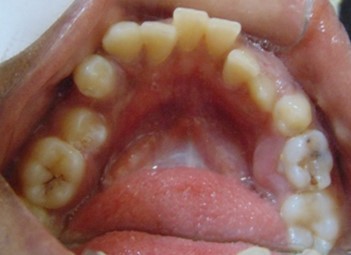
Before
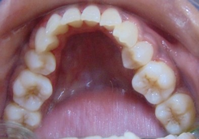
After
Image 1
Image 1
Image 2
Image 2
Image 3
Image 3
Divya Patil, 28Y, Duration - 6Months
Before
After
Image 1
Image 1
Image 2
Image 2
Image 3
Image 3
Akshay Jadhav, 30Y, Duration - 10Months